科室简介:
我院神经科主要诊治脑血管疾病(脑梗塞、脑出血)、偏头痛、脑部炎症性疾病(脑炎、脑膜炎)、脊髓炎、癫痫、痴呆、代谢病和遗传病、三叉神经痛、坐骨神经病、周围神经病及重症肌无力等。
林锦魁
主任医师/教授
毕业于上海第二军医大学医疗系,原莆田学院附属医院院长,原莆田学院医学院副院长,莆田市神经病学名誉主任委员,福建省神经内科中西医结合委员会常务委员,从事内科临床工作40余年,获得多项省市科技进步奖,发表省级以上论文20余篇,擅长神经内科常见病的诊疗,如脑血管病、认知障碍、睡眠障碍等;糖尿病及糖尿病周围神经病。
林柏松
主治医师
毕业于安徽医科大学临床医学院,临床医学专业;从事内科工作近10年,期间进修于莆田市第一医院;擅长神经内科及内分泌科的常见病,如脑梗死、后循环缺血、焦虑和睡眠障碍、癫痛、帕金森病、糖尿病等。

1.脑血管疾病:短暂性脑缺血发作、脑梗死等。
2.神经、肌肉疾病:重症肌无力、周期性瘫痪、进行性肌营养不良等。
3.周围神经疾病:三又神经痛、面神经炎、急性炎症性脱髓鞘性多发性神经病等。
4.运动障碍疾病:帕金森病、帕金森综合征等。
5.发作性疾病:如癫痫、偏头痛等疾病。
6.其他疾病:多发性硬化、偏侧萎缩症、阿尔茨海默症、中枢神经系统感染性疾病等。

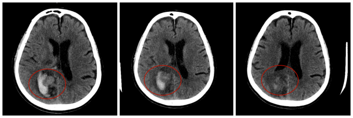
79岁的欧大爷在家中不慎摔倒后突发急性脑梗塞,短短1天内病情急转直下,出现脑梗死出血转化。莆田福德医院神经内科团队迅速启动多学科会诊,通过精准的影像评估、个体化的诊疗方案,成功将欧大爷从危险边缘拉回。如今,他不仅能下地行走,更重拾了与家人共享天伦的幸福时光。这例精准救治案例,正是福德医院神经内科“专业、高效、人文”医疗理念的生动诠释。
+【福德康复】抓住寒假窗口!青少年脊柱侧弯矫正别拖延!
2026-02-04
+【福德泌尿】肾绞痛≠肾结石!六旬老人突发剧痛,元凶竟是它!
2026-02-04
+【医疗质量】我院召开2025年度医疗质量与安全分析会
2026-01-24
+【福德内科】两岸同心一家亲!莆田福德医院暖心救治台胞患者
2026-01-24
+【福德血透】情系肾友,暖心举措驱散冬日寒意
2026-01-18
+【福德急诊】语言有界,守护无界!我院急诊科暖心救治外籍患者
2026-01-16
林锦魁
主任医师/教授
科室:神经内科
业务专长:
神经内科常见病的诊疗,如脑血管病、认知障碍、睡眠障碍等;糖尿病及糖尿病周围神经病。
方一青
主任医师
科室:神经内科
业务专长:
头痛、头晕、眩晕、晕厥、癫痫、帕金森病、帕金森综合征、特发性震颤、脑血管病恢复期、周围神经病变、失眠、高血压和糖尿病等进行规范化诊断治疗。
林柏松
主治医师
科室:神经内科
业务专长:
神经内科及内分泌科的常见病,如脑梗死、后循环缺血、焦虑和睡眠障碍、癫痛、帕金森病、糖尿病等。
| 医生姓名 | 科室 | |||||||
|---|---|---|---|---|---|---|---|---|
| 林德兴 | 心血管内科 | |||||||
| 何向阳 | 骨质疏松科 | |||||||
| 徐祖熹 | 呼吸内科 | |||||||
| 沈清来 | 心血管内科 | |||||||
| 林锦魁 | 神经内科 | |||||||
| 林柏松 | 神经内科 | |||||||
| 郑文棋 | 消化内科 | |||||||
| 黄汉平 | 消化内科 | |||||||
| 陈国勇 | 内分泌科 | |||||||
| 黄鲤仙 | 综合内科 | |||||||
| 肖德盛 | 综合内科 | |||||||
| 谢庆祥 | 泌尿肾病科 | |||||||
| 邱祖植 | 肛肠门诊 | |||||||
| 许金尧 | 甲乳外科 | |||||||
| 杨永锐 | 普外、蛇伤科 | |||||||
| 何玉贤 | 心胸外科 | |||||||
| 叶剑东 | 骨科 | |||||||
| 耿成龙 | 手足外科 | |||||||
| 林文行 | 疼痛科 | |||||||
| 杨秋雄 | 神经外科 | |||||||
| 张圆锦 | 整形外科 | |||||||
| 吴建妹 | 眼科 | |||||||
| 谢壮志 | 耳鼻喉科 | |||||||
| 曾献敏 | 口腔科 | |||||||
| 翁海霞 | 口腔科 | |||||||
| 方红桑 | 妇科 | |||||||
| 肖波 | 妇科 | |||||||
| 关丽珍 | 中医妇科 | |||||||
| 卓俊瑞 | 儿科 | |||||||
| 林维山 | 皮肤科 | |||||||
| 胡加富 | 中西医结合科 | |||||||
| 谢奇峰 | 中医科 | |||||||
| 罗文高 | 中医科 | |||||||
| 郭建东 | 中医康复科 | |||||||
| 张祖辉 | 心血管内科 | |||||||
| 陈志忠 | 综合内科 | |||||||
| 肖敏 | 心血管内科 | |||||||
| 翁淑娟 | 消化内科 | |||||||
| 翁丽丽 | 消化内科 | |||||||
| 徐秀莺 | 妇科 | |||||||
| 张春燕 | 妇科 | |||||||
| 林雪华 | 妇科 | |||||||
| 林曼君 | 康复科 | |||||||
| 叶 可 | 耳鼻喉科 | |||||||
| 陈金新 | 肾内科 | |||||||
| 陈独立 | 肾内科 | |||||||
| 陈星 | 呼吸内科 | |||||||
| 黄赛盛 | 疼痛科 | |||||||
| 余歆宁 | 口腔科 | |||||||
| 林伯龙 | 康复科 | |||||||
| 陈智斌 | 中医科 | |||||||
| 林志健 | 康复科 | |||||||
| 陈晟长 | 骨科 |